CT scans and MRI scans serve different diagnostic purposes, each excelling in specific areas of medical imaging. While both create detailed internal body images, CT technology offers unique advantages for certain conditions and anatomical structures.

Bone Imaging Superiority
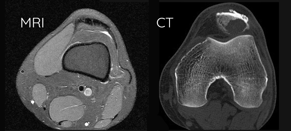
CT scans provide exceptional bone detail that MRI cannot match. The technology excels at detecting fractures, bone infections, and structural abnormalities within skeletal systems. Small hairline fractures often invisible on MRI become clearly visible through CT imaging.
Bone tumors appear with greater clarity on CT scans, allowing doctors to assess tumor density and calcification patterns. Joint replacements and orthopedic hardware show up clearly without the signal interference that can plague MRI examinations.
Emergency Trauma Assessment
In acute trauma situations, CT scans deliver rapid results crucial for immediate medical decisions. Head injuries require quick evaluation for bleeding, skull fractures, and brain swelling – all clearly visible on CT within minutes.
Internal bleeding detection happens faster with CT technology. Abdominal trauma cases benefit from CT’s ability to quickly identify organ damage, blood accumulation, and foreign objects like bullets or shrapnel.
Lung and Chest Imaging
CT scans excel at lung tissue evaluation in ways MRI cannot replicate. Pulmonary embolisms (blood clots in lung arteries) appear distinctly on CT angiography but may be missed entirely on MRI.
Lung cancer screening relies heavily on CT technology due to its superior ability to detect small nodules and masses within lung tissue. Pneumonia, emphysema, and other lung diseases show clearer diagnostic features through CT imaging.
Calcium Detection
Calcified structures and deposits appear prominently on CT scans but may be invisible on MRI. Kidney stones show up clearly, allowing doctors to determine size, location, and density for treatment planning.

Coronary artery calcification scoring requires CT technology, as MRI cannot adequately visualize calcium buildup in heart arteries. This information proves vital for cardiac risk assessment.
Speed and Accessibility
CT scans complete in seconds or minutes, while MRI examinations often require 30-60 minutes. This speed advantage becomes critical in emergency situations or for patients unable to remain still for extended periods.
Motion artifacts affect MRI more severely than CT scans. Patients with tremors, breathing difficulties, or claustrophobia often achieve better results with CT imaging.
Specific Medical Conditions
Appendicitis CT scans diagnose appendicitis rapidly and accurately, showing inflammation, fluid collections, and complications that MRI might miss or take longer to identify.
Diverticulitis Colon inflammation and associated complications appear clearly on CT scans, helping doctors distinguish between different severity levels and plan appropriate treatment.
Pancreatitis Pancreatic inflammation and its complications, including fluid collections and necrosis, show up distinctly on CT imaging with contrast enhancement.
Radiation Considerations
CT scans use ionizing radiation, which MRI does not. However, this radiation allows superior visualization of certain structures and pathological processes. Modern CT equipment uses dose reduction techniques while maintaining image quality.

Multiple CT scans over time may accumulate significant radiation exposure, particularly in young patients. Doctors balance diagnostic benefits against radiation risks when choosing between imaging modalities.
Technology Limitations
Despite its advantages, CT scanning cannot match MRI’s soft tissue contrast resolution. Brain and spinal cord imaging often requires MRI for detailed evaluation. Cartilage, ligaments, and tendons appear more clearly on MRI examinations.
CT contrast agents contain iodine, which can cause allergic reactions in sensitive patients. MRI contrast (gadolinium) has different risk profiles and may be safer for certain individuals.
Frequently Asked Questions
Can CT scans detect all types of tumors better than MRI?
No. While CT excels at certain tumor types, MRI provides superior soft tissue contrast for brain tumors, spinal cord lesions, and many abdominal masses.
Why do doctors sometimes order both CT and MRI scans?
Each technology provides different information. CT may show bone involvement while MRI reveals soft tissue extent of the same condition.
Do CT scans always use contrast material?
No. Many CT scans perform without contrast, though contrast agents can enhance visualization of blood vessels and certain organs.
Which scan is more accurate for diagnosing strokes?
CT quickly identifies bleeding strokes, while MRI better detects ischemic strokes. Emergency protocols often start with CT for speed.
Can CT scans show nerve damage?
CT cannot directly visualize nerve tissue well. MRI provides much better nerve imaging capabilities.
Are CT scans safer than MRI?
Both have different risk profiles. CT involves radiation exposure but works with most implanted devices. MRI has no radiation but cannot be used with certain metal implants.
Which scan costs less?
CT scans typically cost less than MRI examinations and are more widely available.

Can pregnant women have CT scans?
CT scans involve radiation exposure, so doctors carefully weigh risks and benefits. MRI is generally preferred during pregnancy when imaging is necessary.
Future Developments
Advanced CT technologies continue improving image quality while reducing radiation exposure. Dual-energy CT provides enhanced tissue characterization capabilities that bridge some gaps between CT and MRI imaging.
Artificial intelligence integration helps radiologists identify subtle abnormalities more quickly and accurately, improving diagnostic confidence for both imaging modalities.
Both CT and MRI serve essential but different roles in modern medicine. CT’s strengths in bone imaging, emergency evaluation, lung assessment, and rapid diagnosis complement MRI’s superior soft tissue visualization capabilities.